Whats a testicle tear?
Robert Bradley Testicular rupture is a rip or tear in the Tunica albuginea of testis - Wikipedia
Can you fix a ruptured testicle?
How is it treated? Treating a ruptured testicle usually means surgery. If a testicle has been torn, but there's healthy blood flow, it can typically be repaired through surgery.
How do I heal my balls?
Take a break. If your testicles were injured while playing sports or doing any other strenuous physical activity, take a few days off to let them heal. Reducing stress and strain placed on the testicles and scrotum promotes faster healing.
How do you know if your balls are dead?
With no blood, the testicle could die (or "infarct"). When the testes die, the scrotum will be very tender, red, and swollen. Often the patient won't be able to get comfortable. Any pain or discomfort in the testes is a sign to get medical help right away.
How long does it take for your balls to heal?
Depending on the cause of your testicle pain, your condition may take up to 4 weeks to heal. Rest: Limit your activity until your pain decreases. Get more rest while you heal. Do not sit for long periods of time.
Testicular Cancer
25 related questions foundCan you dislocate a testicle?
Testicular dislocation is a rare clinical presentation that occurs most commonly as a result of blunt scrotal injury. It is immensely important to prevent any delay in diagnosis as this can lead to loss of spermatogenic function of the testis and increased risk of orchiectomy.
Can your balls hurt from not releasing?
But when that excess blood stays in the genitals for a long time without being released, that increased blood pressure (the “hypertension” in the medical term) can get painful, leading to an ache in the testicles not-so-fondly known as blue balls.
Why did my balls turn purple?
Sometimes a man's penis can turn a purple-red color. Mostly, this color change is benign. The penis may become purple whenever there is increased blood flow to the blood vessels and glands within it. This often happens when a man experiences arousal.
Can you produce sperm with one ball?
Yes, in most cases, people with one testicle can get someone pregnant. Remember, one testicle can provide enough testosterone for you to get an erection and ejaculate. This is also enough to produce adequate sperm for fertilization.
Is it healthy to eat sperm?
Yes, eating sperm is perfectly healthy as it is a bodily fluid. As semen is part of the body, it develops in the male reproductive system. Just like regular food, the constituents of sperm make it safe to ingest and digest. ... The nutrients in sperm make it healthy to ingest.
Can a man get pregnant?
People who are born male and living as men cannot get pregnant. A transgender man or nonbinary person may be able to, however. It is only possible for a person to be pregnant if they have a uterus. The uterus is the womb, which is where the fetus develops.
Can a man with zero sperm count get a woman pregnant?
The answer is yes. Men with no sperm in their ejaculate, who likely have a problem with sperm production can achieve pregnancy. All this is possible thanks to modern assisted reproductive techniques such as IVF and ICSI.
Does it hurt if a guy doesn't finish?
Over time, not ejaculating can trigger psychological problems. For example, people with sexual dysfunctions that affect their ability to ejaculate may experience distress or embarrassment. It can also lead to relationship problems. For example, partners may become frustrated with a person with sexual dysfunction.
What happens if you block sperm from coming out?
If sperm does not travel out by ejaculation, the body breaks down semen and reabsorbs it. It may also release the sperm during nocturnal emission, also known as a wet dream. If people have had a vasectomy, their sperm remains inside the body and does not mix into the semen.
What are the side effects of not ejaculating?
Complications of delayed ejaculation can include:- Diminished sexual pleasure for you and your partner.
- Stress or anxiety about sexual performance.
- Marital or relationship problems due to an unsatisfactory sex life.
- Inability to get your partner pregnant (male infertility)
How do you fix a twisted testicle?
Surgery is required to correct testicular torsion. In some instances, the doctor might be able to untwist the testicle by pushing on the scrotum (manual detorsion). But you'll still need surgery to prevent torsion from occurring again. Surgery for testicular torsion is usually done under general anesthesia.
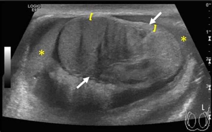
Can a testicle split in half?
Testicular rupture is a rip or tear in the tunica albuginea resulting in extrusion of the testicular contents, including the seminiferous tubules. It is a rare complication of testicular trauma, and can result from blunt or penetrating trauma, though blunt trauma is more likely to cause rupture.
How long should a man last in bed with a woman?
Studies have found that the “average” “desirable” duration of penetration is 7 to 13 minutes. Several factors can make sex last too short or too long, including age or sexual dysfunction such as ED or PE. There are several things you can try to make sex last as long as you and your partner want.
Why does my sperm release so fast?
The causes of primary premature ejaculation are often psychological, such as having a traumatic sexual experience at an early age. Secondary premature ejaculation can be caused by both psychological and physical factors.
Can I get pregnant if I put sperm in me with my fingers?
Fingering is very unlikely to introduce sperm to the vagina and cause pregnancy, but it can happen. Fingering can only cause pregnancy if a person's fingers are covered in preejaculate or ejaculate when they insert them into the vagina.
Can a guy finish without anything coming out?
Some men can have an orgasm without ejaculating at all. They still have the feeling of having an ejaculation (coming) but no semen comes out. Either there is no semen produced, or the semen travels backwards into the bladder instead.
Can a 70 year old man get a woman pregnant?
Well, not exactly. While it's true men continue to produce sperm into old age, it doesn't mean they'll be fertile at 50. And just as a woman's chances of getting pregnant start to decline in her mid-30s, so does a man's fertility.
What is 10 babies at once called?
Quintuplets occur naturally in 1 in 55,000,000 births. The first quintuplets known to survive infancy were the identical female Canadian Dionne Quintuplets, born in 1934. Quintuplets are sometimes referred to as "quins" in the UK and "quints" in North America.
Who is the first pregnant man in the world?
A decade ago Thomas Beatie made global headlines when he became the world's first 'pregnant man'. After having gender reassignment surgery to remove his breasts, Thomas decided to keep his reproductive organs and in 2008 with his first wife, Nancy, the couple welcomed their daughter, followed by two sons.
Can you get pregnant on your period?
Yes, although it's not very likely. If you have sex without using contraception, you can conceive (get pregnant) at any time during your menstrual cycle, even during or just after your period.